Članki
Parodontološki žepki: zdravljenje z luščenjem in glajenjem korenin

Parodontološki žepki: zdravljenje z luščenjem in glajenjem korenin

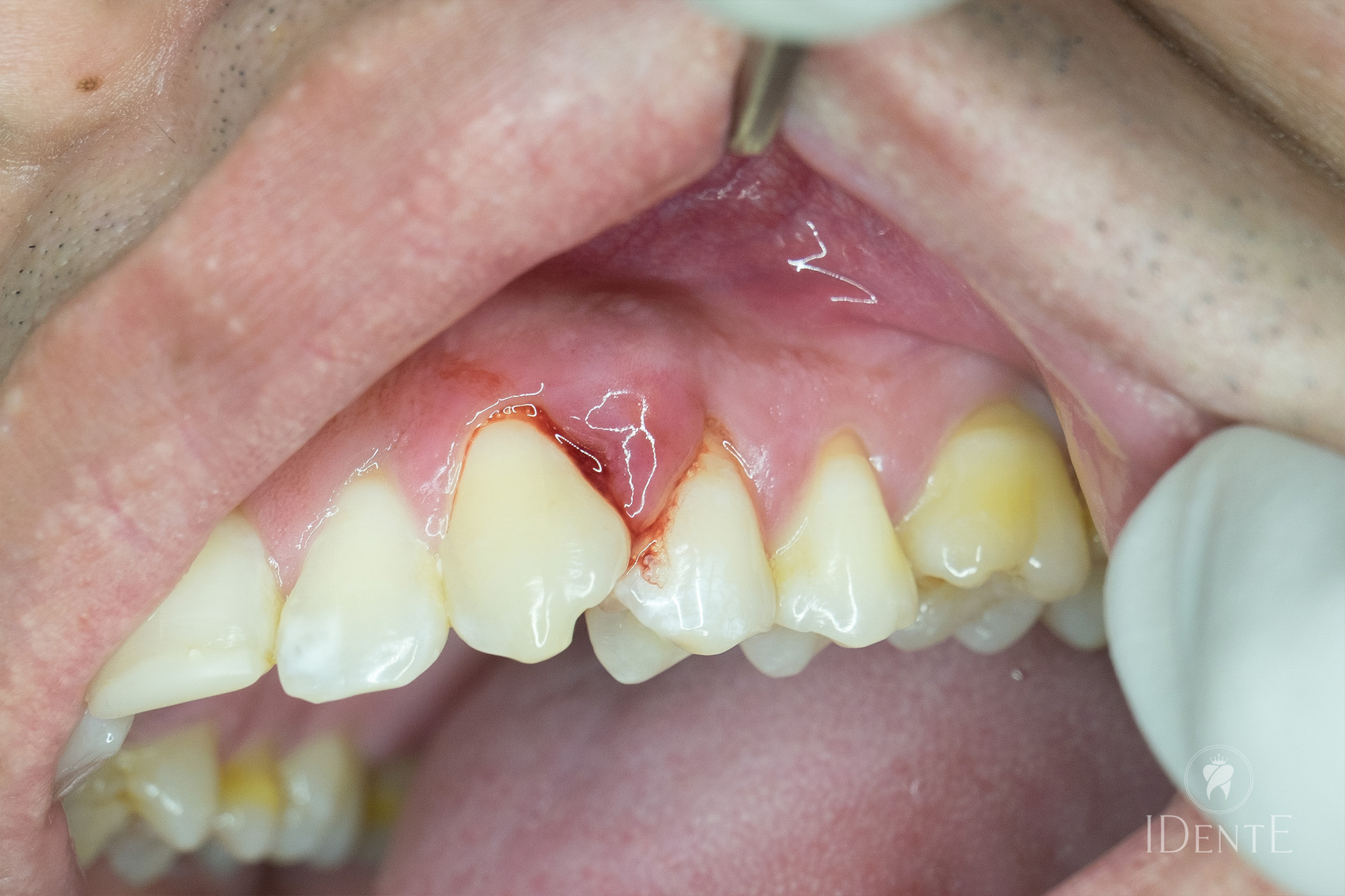
Parodontološki žepki so eden izmed najpogostejših znamenj napredovanega vnetja dlesni in parodontalnih struktur, ki lahko vodijo v izgubo obzobnih vezi in kostnih struktur. Gre za globoke “žepke”, ki se tvorijo med zobmi in dlesnijo, ko bakterijski plak in zobni kamen prodreta pod nivo dlesni ter sprožita kronično vnetje. Zdravljenje z luščenjem in glajenjem korenin (scaling and root planing – SRP) je široko priznana, neinvazivna terapija prve izbire za nadzor in zaustavitev napredovanja parodontalne bolezni.

Kaj so parodontološki žepki?

Parodontološki žepki nastanejo, ko se dlesen zaradi kroničnega vnetja odmakne od zoba, sledi ločitev vezi in izguba kosti okrog zobnega korena. Te globoke subgingivalne “žepke” napolni bakterijski plak, ki ga običajno z navadnim ščetkanjem ni mogoče učinkovito odstraniti. Nezdravljeni žepki predstavljajo rezervoar bakterij, ki sprožajo nadaljnje vnetje in kostiogeno razgradnjo.

Epidemiologija in pomen zgodnjega odkrivanja

Raziskave kažejo, da približno 47,2 % odraslih nad 30 let v ZDA trpi za kroničnim parodontitisom, kar pomeni, da ima veliko število ljudi dejanske parodontološke žepke globine ≥4 mm. Če se bolezen ne zdravi, lahko vodi v resno izgubo zob, oslabljen ugriz ter celo poslabšanje splošnega zdravstvenega stanja, na primer srčno-žilnih bolezni ali poslabšanje sladkorne bolezni.

Dejavniki tveganja

Glavni dejavniki tveganja za nastanek in poglabljanje parodontoloških žepkov so:

  • Kajenje: zmanjšuje prekrvavitev in otežuje celjenje parodontalnih tkiv.
  • Sladkorna bolezen: kronična hiperglikemija poslabšuje imunski odgovor in povečuje vnetni odziv dlesni, medtem ko parodontitis lahko otežuje nadzor krvnega sladkorja.
  • Genetska predispozicija: pri nekaterih bolnikih so značilni genetski dejavniki, ki povečajo nagnjenost k parodontalnim boleznim.
  • Slaba ustna higiena: daljša prisotnost zobnega plaka spodbuja nastanek žepkov.
Diagnostika parodontoloških žepkov

Za natančno določitev globine parodontoloških žepkov zobozdravniki in parodontologi uporabljajo:

  • Merilno sondo: merjenje globine žepka vzdolž ob zobnem korenu (normalno ≤3 mm, patološko >3 mm).
  • Rentgenske posnetke: za oceno morebitne izgube kosti in spremljanje sprememb po zdravljenju.
  • Vnetne oznake in mikrobiološko analizo: v določenih primerih se uporablja testiranje parodontalnih patogenov.
Diagnostika parodontoloških žepkov

Če globina žepkov presega 4 mm in kaže znake vnetja (krvavenje, oteklina), je luščenje in glajenje korenin priporočljivo kot prva neinvazivna terapija. Cilj je odstraniti bakterijska žarišča, preprečiti nadaljnjo izgubo vezi in kostno razgradnjo ter izboljšati samopodobo bolnika.

Parodontološki žepki: zdravljenje z luščenjem in glajenjem korenin

Luščenje in glajenje korenin (Scaling and Root Planing)

Kaj je luščenje (scaling)?

Luščenje je postopek odstranjevanja zobnega kamna (tartarja) in plaka iz zobnih površin nad in pod nivojem dlesni z uporabo ročnih instrumentov ali ultrazvočnih sistemov. Postopek povrne glavno količino bakterijskega in mineraliziranega plaka.

Kaj je glajenje korenin (root planing)?

Glajenje korenin je podrobnejši postopek, pri katerem se ostri delci zobnega kamna in pod površinsko okužbo odstranijo iz koreninskega cementa, da se gladko poravna površina korena. To prepreči ponovno naseljevanje bakterij in omogoči boljše pritrjevanje dlesni na zobe.

Instrumenti in tehnika
  • Ročni inštrumenti (kirete in parodontalne sonde): natančni kovinski pripomočki za mehansko odstranjevanje zobnega kamna ter glajenje koreninskih površin, posebej oblikovani za delo v subgingivalnem področju.

  • Ultrazvočni inštrumenti: visokofrekvenčna vibracijska naprava z vodnim hlajenjem, ki s hitrimi oscilacijami učinkovito razbija in odstranjuje zobni kamen.

  • Lokalna anestezija: zagotavlja udobje in zmanjšuje občutljivost med globokim čiščenjem.

  • Antibiotična preventiva: po presoji zdravnika vstavitev lokalnih antibiotikov ali peroralna antibiotična kura za boljši nadzor bakterij.

Potek posega
  1. Priprava bolnika: anamneza, rentgen, klinični pregled.
  2. Anestezija: injekcija lokalnega anestetika okoli prizadetih žepkov.
  3. Luščenje: odstranjevanje kamna nad in pod dlesnijo.
  4. Glajenje korenin: gladka predelava korenin za zmanjšanje nečistoč.
  5. Izplakovanje in sanacija: spiranje z antimikrobno raztopino.
  6. Kontrola in nadaljnje čiščenje: po nekaj tednih ponovno merjenje globin in morebitno ponavljanje SRP v globljih žepkih.
Trajanje in pogostost posegov
  • Običajno trajanje: 60–120 minut, odvisno od števila prizadetih območij.

  • Nekateri zobozdravniki opravijo celoten SRP v enem obisku, drugi ga razdelijo na dva obiska po polovico ustne votline.

Prednosti in koristi
  • Odstranitev bakterijskega žarišča: zmanjša vnetje.
  • Zmanjšanje globine žepkov: omogoči ponovno prirast dlesni.
    Izboljšanje ustne higiene: olajša oskrbo po posegu.
    Preprečitev napredovanja bolezni: zmanjša tveganje izgube zob in širjenja bakterij v krvni obtok.
Možni zapleti in tveganja
  • Krvavenje in občutljivost: pogosti takoj po posegu; običajno minejo v nekaj dneh.
  • Recesija dlesni: zdravljenje zmanjšuje oteklino, kar lahko odkrije več korenine.
  • Vnetje in bolečina: lahko nastopi ob bakterijski okužbi, zato se včasih predpišejo antibiotiki.
  • Možnost relapsa: redno vzdrževanje in pregledi so ključni za trajen uspeh.
Pooperativna nega
  • Nežna ustna higiena: mehka zobna ščetka, nežen krožni gib.
  • Uporaba interdentalnih čistil: nitke ali medzobne ščetke za čiščenje žepkov.
  • Antiseptični izplaki: klorheksidin ali druge raztopine po navodilih zobozdravnika.
  • Izogibanje trdi hrani: vsaj 24–48 h po posegu.
  • Redni kontrolni pregledi: vsakih 3–6 mesecev za meritve globin in morebitno dodatno čiščenje.
Preprečevanje ponovitve

Za ohranitev rezultatov luščenja in glajenja korenin so ključni:

  • Dnevno temeljito ščetkanje in čiščenje medzobnih prostorov.
  • Prenehanje kajenja in nadzor krvnega sladkorja pri diabetikih.
  • Redne profesionalne kontrole in posegi na 3–6 mesecev.
  • Zdrava prehrana z nizko vsebnostjo enostavnih ogljikovih hidratov za zmanjšanje plaka.
Parodontološki žepki: zdravljenje z luščenjem in glajenjem korenin

Zaključek

Luščenje in glajenje korenin sta stebra sodobnega zdravljenja parodontalnih bolezni, ki trajno izboljšujeta zdravje dlesni ter pripomoreta k ohranitvi zob in splošnega počutja bolnika. Z redno domačo nego ter profesionalnimi pregledi je možno doseči dolgotrajno remisijo in preprečiti resne zaplete, kot so izguba zob ali sistemske posledice kroničnega vnetja.

Če želite izvedeti več o zdravljenju parodontalnih bolezni ali imate dodatna vprašanja, nas kontaktirajte. Naša ekipa strokovnjakov vam bo z veseljem svetovala in vam pomagala pri izbiri najbolj ustrezne rešitve za ohranitev vašega zoba. Pokličite nas ali nam pišite ter se naročite na posvet!

Naročite se na termin!
Pregled zasebnosti

Na spletni strani uporabljamo piškotke z namenom zagotavljanja spletne storitve in funkcionalnosti, ki jih brez njih ne bi mogli nuditi. Prosimo vas, da s klikom na spodnji gumb potrdite uporabo piškotkov na naši spletni strani.