Članki
Amalgamske plombe in zakaj jih odstraniti - IDentE

Amalgamske plombe: zakaj jih nadomestiti

Amalgamske plombe so že desetletja del zobozdravstvene prakse, vendar so zaradi zdravstvenih in okoljskih skrbi vse bolj predmet razprav in omejitev. Evropska unija je sprejela stroge ukrepe glede uporabe amalgamskih plomb, kar je privedlo do vprašanj, zakaj so prepovedane, kakšne alternative so na voljo in kakšne so razlike med različnimi vrstami plomb. V tej novici bomo raziskali vse ključne informacije o amalgamskih plombah, njihovi sestavi, odstranjevanju, nadomestilih ter prednostih in slabostih.

Kaj so amalgamske plombe in kakšna je njihova sestava?

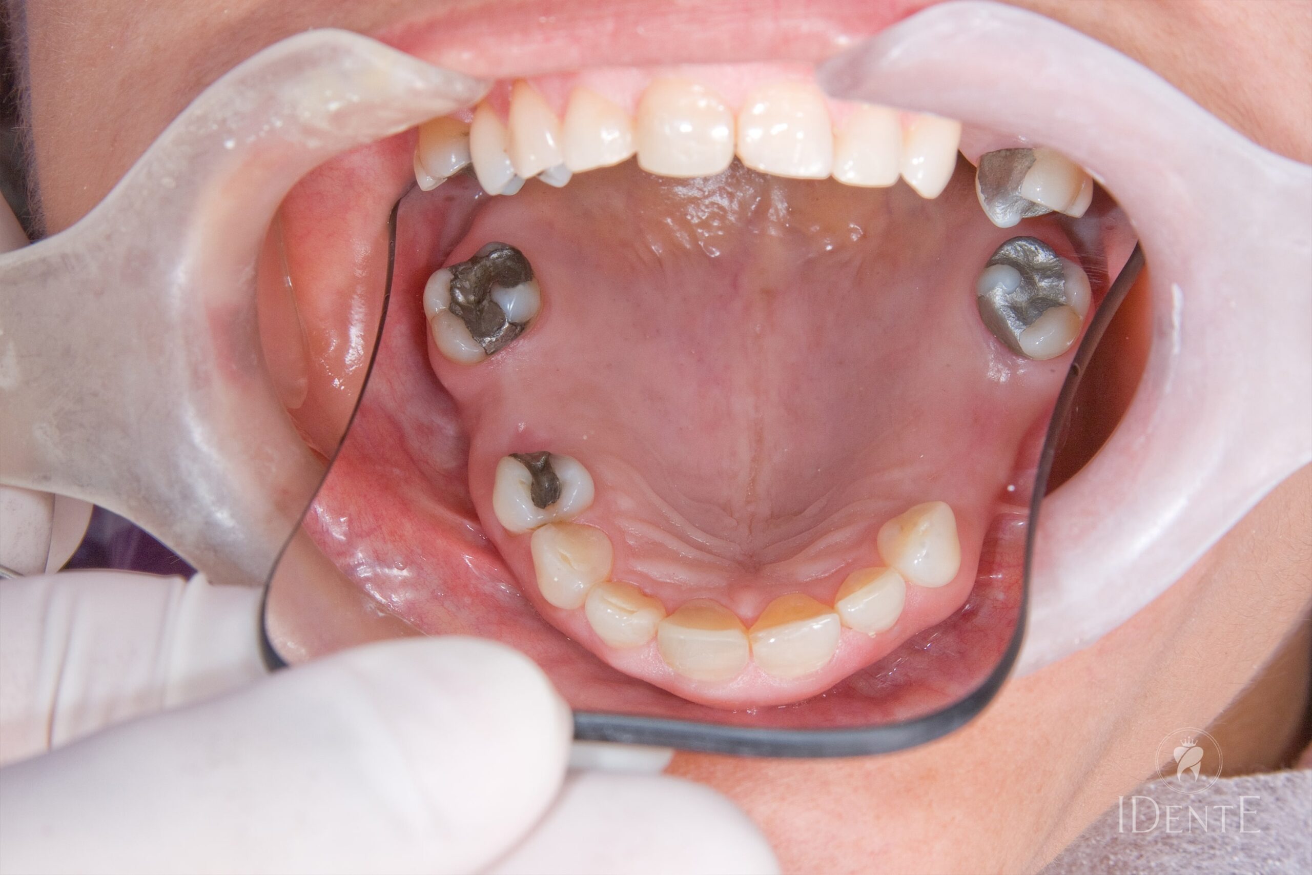
Amalgamske plombe so zlitina, ki vsebuje približno 50 % živega srebra, preostali del pa sestavljajo mešanice srebra, kositra in bakra. Zaradi kombinacije teh materialov je amalgam izredno trpežen, kar ga je naredilo priljubljenega pri zobozdravnikih za zdravljenje kariesa. Ta material je bil cenjen zaradi svoje dostopnosti, trajnosti in sposobnosti prenesti obremenitve žvečenja.

Glavne prednosti amalgamskih plomb vključujejo:

  • Dolgo življenjsko dobo (10–15 let ali več).

  • Trdnost in odpornost proti obrabi.

  • Nižjo ceno v primerjavi z nekaterimi drugimi materiali.

  • Učinkovitost pri velikih luknjah v zadnjih zobeh.

Vendar pa živo srebro v amalgamskih plombah predstavlja potencialno nevarnost za zdravje in okolje, kar je glavni razlog za njihovo postopno opuščanje. Ta nevarnost se povečuje pri osebah z več amalgamskimi plombami ali tistih, ki so pogosto izpostavljeni hlapom živega srebra.

Zgodovina uporabe amalgamskih plomb

Amalgamske plombe so se prvič pojavile v 19. stoletju kot cenovno ugodna in dolgotrajna rešitev za popravilo zob. V tistem času je njihova odpornost močno presegala alternativne materiale, ki niso bili tako trdni ali trajni. Kljub temu so že od začetka obstajali pomisleki glede varnosti zaradi vsebnosti živega srebra. Z razvojem znanosti so ti pomisleki postajali vse bolj utemeljeni, kar je privedlo do strožjih predpisov in prepovedi.

Amalgamske plombe in zakaj jih odstraniti - IDentE

Zakaj so amalgamske plombe prepovedane v EU?

Evropska unija je že leta 2018 uvedla omejitve za uporabo amalgamskih plomb pri otrocih, nosečnicah in doječih materah, leta 2023 pa je začela veljati širša prepoved njihove uporabe. Glavni razlogi za prepoved so:

1. Zdravstvena tveganja:
  • Dolgotrajna izpostavljenost živemu srebru lahko vpliva na živčni sistem, ledvice in imunski sistem.

  • Študije so pokazale, da lahko hlapi živega srebra vplivajo na zdravje ljudi, zlasti na ranljive skupine, kot so nosečnice, otroci in osebe z oslabljenim imunskim sistemom.

  • Čeprav ni dokazano, da amalgamske plombe neposredno povzročajo bolezni, lahko povečajo tveganje pri posameznikih z genetsko občutljivostjo na živo srebro.

2. Okoljski vpliv:
  • Živo srebro je nevarna snov, ki lahko kontaminira zemljo, vodo in zrak.

  • Zobozdravstvene ambulante lahko nevede prispevajo k onesnaženju, če odpadki, ki vsebujejo amalgam, niso pravilno obdelani.

  • Živo srebro, ki pride v okolje, se lahko kopiči v organizmih, kar vpliva na prehranjevalne verige in ekosisteme.

3. Razpoložljivost alternativ:
  • Danes obstajajo številni materiali, ki so varnejši, estetsko bolj privlačni in okolju prijaznejši.

Alternativni materiali za plombe

Zaradi prepovedi amalgamskih plomb so v ospredje stopili alternativni materiali, ki vključujejo:

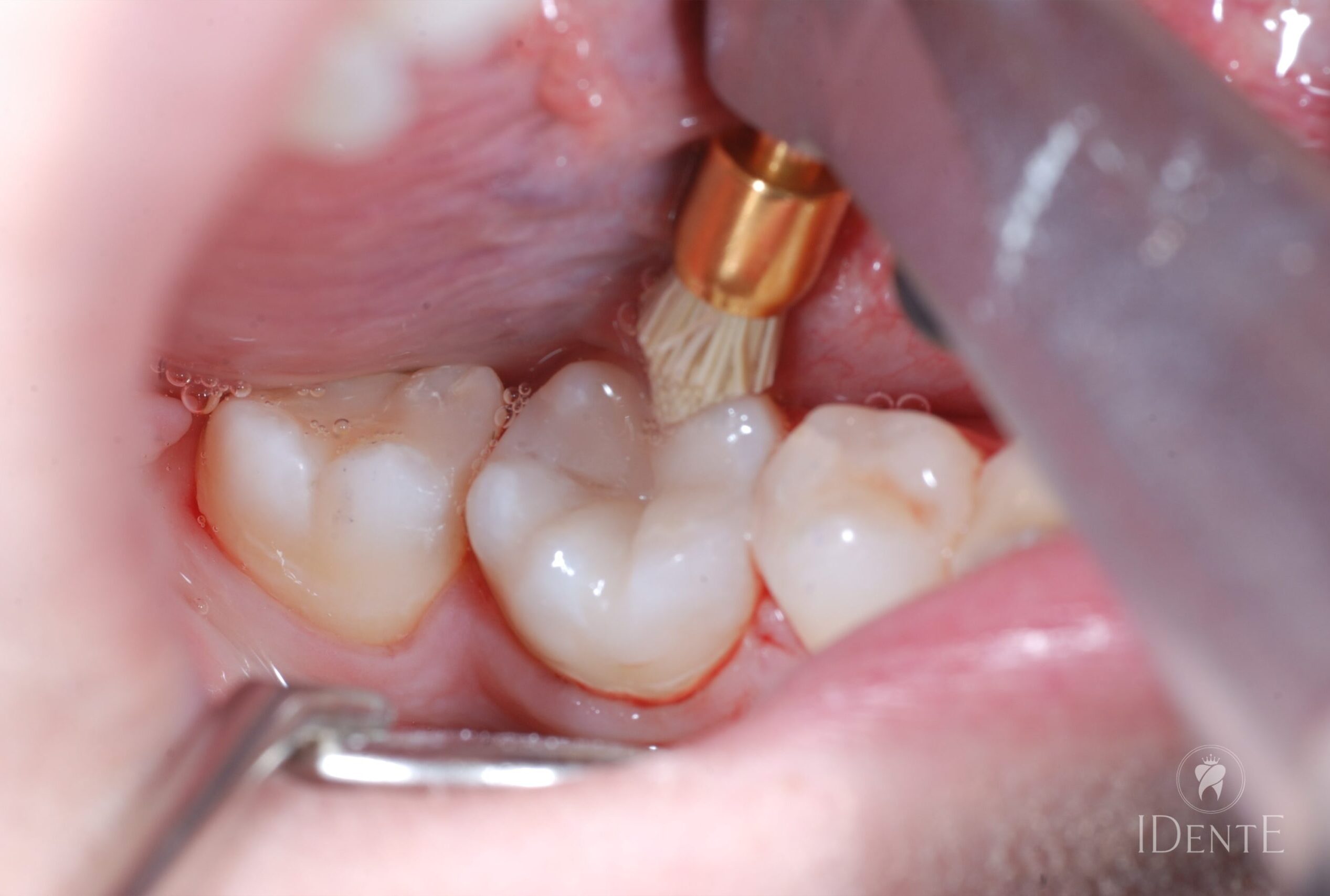
  1. Kompozitne (bele) plombe:

    • Izdelane iz smole in keramičnih delcev.

    • Estetsko privlačne, saj so na voljo v različnih odtenkih, ki se ujemajo z barvo zoba.

    • Primerne za manjše do srednje velike poškodbe zob.

    • Njihova namestitev zahteva več časa, vendar omogočajo boljšo zaščito zobne strukture.

  2. Keramične plombe:

    • Izdelane iz porcelana, znane po svoji vzdržljivosti in naravnem videzu.

    • Pogosto uporabljene za večje plombe ali obsežnejša popravila.

    • Odporne na madeže in razbarvanje, vendar dražje od kompozitnih plomb.

  3. Stekleno-ionomerni materiali:

    • Sproščajo fluorid, kar pomaga preprečevati nadaljnji razvoj kariesa.

    • Manj trpežni, zato so bolj primerni za začasne rešitve ali mlečne zobe.

  4. Zlati in kovinski nadomestki:

    • Redko uporabljeni zaradi visoke cene.

    • Izjemno trpežni in trajni, vendar manj estetski.

Amalgamske plombe in zakaj jih odstraniti - IDentE
Razlike med amalgamskimi in belimi plombami

Ko primerjamo amalgamske plombe z belimi, se pokažejo pomembne razlike v več vidikih:

  1. Cena:

    • Amalgamske plombe so bile tradicionalno cenejše.

    • Bele plombe so dražje zaradi kompleksnejšega postopka namestitve in materialnih stroškov.

  2. Življenjska doba:

    • Amalgamske plombe zdržijo povprečno 10–15 let ali več.

    • Bele plombe imajo krajšo življenjsko dobo, običajno 5–8 let, čeprav se z izboljšavami materialov ta razlika zmanjšuje.

  3. Estetika:

    • Bele plombe so skoraj nevidne, saj se ujemajo z barvo zoba.

    • Amalgamske plombe so srebrne in sčasoma potemnijo, kar je lahko estetsko moteče.

  4. Postopek namestitve:

    • Namestitev belih plomb zahteva več časa in natančnosti.

    • Amalgamske plombe so enostavnejše za namestitev in manj občutljive na vlago med postopkom.

  5. Vpliv na zobno strukturo:

    • Pri belih plombah je treba odstraniti manj zdrave zobne strukture.

    • Amalgamske plombe zahtevajo večje odstranjevanje zoba za ustrezno namestitev.

  6. Okoljski vidik:

    • Amalgamske plombe prispevajo k onesnaženju z živim srebrom.

    • Bele plombe so bolj okolju prijazne.

Amalgamske plombe in zakaj jih odstraniti - IDentE
Kako se odstranjujejo amalgamske plombe?

Odstranjevanje amalgamskih plomb je občutljiv postopek, saj lahko med postopkom pride do sproščanja delcev živega srebra. Zato je pomembno, da se postopek izvede varno in v skladu s smernicami.

Postopek odstranitve vključuje:

  1. Uporabo zaščitnih ukrepov:

    • Zobozdravnik uporablja koferdam, da prepreči zaužitje ali vdihavanje delcev.

    • Uporabljajo se visoko zmogljivi sesalci za odstranjevanje delcev in hlapov.

  2. Razrez amalgama:

    • Namesto vrtanja celotne plombe se amalgam razreže na manjše dele, kar zmanjša sproščanje hlapov.

  3. Nadomestitev z alternativnim materialom:

    • Po odstranitvi amalgama se zob očisti in pripravi za namestitev nove plombe.

Pogosta vprašanja o amalgamskih plombah
  1. Ali so amalgamske plombe nevarne?

    • Za večino ljudi amalgamske plombe ne predstavljajo neposredne nevarnosti, vendar lahko dolgotrajna izpostavljenost živemu srebru pri občutljivih posameznikih povzroči težave.

  2. Kdaj naj zamenjam amalgamske plombe?

    • Zamenjava je priporočljiva, če plombe začnejo pokati, povzročajo občutljivost ali estetsko motijo.

  3. Ali so bele plombe varnejše?

    • Bele plombe ne vsebujejo živega srebra in so zato varnejša izbira.

Slabosti amalgamskih plomb

Čeprav so amalgamske plombe zaradi svoje trpežnosti dolga leta veljale za učinkovito rešitev, imajo naslednje slabosti:

  • Zdravstvena vprašanja: Možna toksičnost živega srebra.

  • Estetski vidik: Vidnost plomb, kar je lahko moteče pri sprednjih zobeh.

  • Možnost razpok: Amalgam se širi in krči ob temperaturnih spremembah, kar lahko povzroči razpoke v zobu.

  • Okoljski vpliv: Prispevek k onesnaženju z živim srebrom.

Kaj pomeni to za paciente?

Prepoved amalgamskih plomb pomeni, da bodo zobozdravniki uporabljali bolj estetske in okolju prijazne alternative. Če imate še vedno amalgamske plombe, ni treba za vsako ceno hiteti z njihovo odstranitvijo, razen če povzročajo težave. Vendar je priporočljivo, da se posvetujete s svojim zobozdravnikom, ki vam bo svetoval najboljše možnosti.

Zaključek

Prepoved amalgamskih plomb v EU predstavlja pomemben korak k bolj zdravemu in okolju prijaznemu zobozdravstvu. Čeprav so bile amalgamske plombe dolgo časa priljubljena izbira, so sodobni materiali, kot so kompoziti in keramika, dokazali svojo vrednost. Če razmišljate o zamenjavi amalgamskih plomb ali potrebujete novo plombo, se posvetujte s svojim zobozdravnikom, ki vam bo pomagal izbrati najboljšo rešitev za vaše potrebe.

Z uporabo belih plomb boste ne le izboljšali estetski videz, temveč tudi prispevali k varovanju okolja in zdravja. Za dodatne informacije ali naročanje na pregled nas kontaktirajte še danes!

Naročite se na termin!
Pregled zasebnosti

Na spletni strani uporabljamo piškotke z namenom zagotavljanja spletne storitve in funkcionalnosti, ki jih brez njih ne bi mogli nuditi. Prosimo vas, da s klikom na spodnji gumb potrdite uporabo piškotkov na naši spletni strani.